Photo gallery with snapshots taken before, during and after the treatment, with the patients’ consent, in the dental practice Dr. Todosi from Bucharest.
10 October 2018 • Metal-porcelain dental crowns • Dental prosthetic
The 33-year-old patient presented herself with an old (unsightly) work with a desire to change her. We decided together with the patient and the technician to change it with total physiological E-Max crowns. The result was extraordinary.


Total physiomic crowns E-Max →
16 August 2018 • Metal-porcelain dental crowns • Dental prosthetic
The patient, aged 30 years, presented to us for aesthetic reasons. Together with the patient, I opted for E-Max crowns and facets.
The case was a very difficult one because I only worn some of my teeth. We managed to achieve the same shape and color as the natural teeth, preserving the vitality of the prosthetic teeth, the result being spectacular.



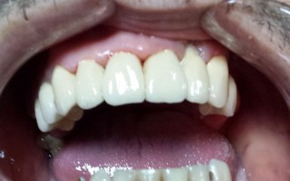
20 September 2017 • Metal-porcelain dental crowns • Dental prosthetic
The patient, aged 28, wanted to have a perfect hollywood smile. I opted for an E-Max crown denture.
The case was extremely difficult because of the edging of the upper lateral incisors, but also of the tremors (the turret) in the frontal area. Finally, we obtained the patient's much-wanted result.


20 September 2017 • Metal-porcelain dental crowns • Dental prosthetic
The 30-year-old patient showed up in the office for aesthetic reasons. I opted for a prosthesis with an E-Max dental crown.
18 September 2017 • Metal-porcelain dental crowns • Dental prosthetic
The 27-year-old patient wanted a perfect smile - obtained with E-Max dental crowns.


25 February 2017 • Dental implants • Implants
The 67-year-old patient was present at the office for aesthetic and functional reasons.
Together with the patient, I opted for a fixed prosthesis on the implants. The rehabilitation was carried out by means of a fixed work (12 metal-ceramic elements, 500 lei / element) stabilized by mounting on 6 dental implants (Megagen, price 400 euro / implant).



Fixed prosthesis on implants →
3 February 2016 • Dental implants • Implants
The 75-year-old patient was presented in the cabinet with a total mandibular edentation. The patient wanted to change the mobile work (prosthesis) with a fixed prosthetic work. Following the treatment plan, we established the insertion of 8 implants and prosthesis with a fixed metal-ceramic work. The patient is an Italian citizen and worked against the timer.


Fixed prosthetic work: 8 implants and prosthesis →
3 February 2016 • Metal-porcelain dental crowns • Dental prosthetic
The patient (25 years) presented herself in the office for aesthetic reasons and together I opted for a metal-ceramic work (design). At the end we managed to redeem the much-desired smile.


17 September 2015 • Metal-porcelain dental crowns • Dental prosthetic
The 27-year-old patient showed up in the office for aesthetic reasons. The case was a real challenge as the patient had a missing tooth in the upper frontal area. The patient wanted a perfect smile and opted for a fixed ceramic work on zirconium in the frontal area and metal-ceramic crowns in the lateral areas. The case was not an easy one because the space in the frontal area was limited - for a correct job both functional and aesthetically, a very careful preparation of the prosthetic collars and a perfect fingerprint was needed.



Fixed ceramic and metal-ceramic crowns →
29 Feb 2015 • Metal-porcelain dental crowns • Dental prosthetic
The 24-year-old patient presented for aesthetic, functional and, above all, social reasons. The case has encountered difficulties due to malocclusion (improper closure of the mouth) of the patient. After the face arc recording, together with the technician, I found the solution of a correct occlusion. Following prosthetic treatment (metal-ceramic crowns) we obtained the desired result of the patient.


Malocclusions and metal-ceramic crowns →
14 March 2015 • Dental bridges • Dental prosthetic
The 51-year-old patient showed up in the office for aesthetic and functional reasons, but mostly because of the unbearable teeth pain. After establishing the treatment plan, we decided to reconstitute with the patient with two metallic ceramic fixtures (D'sign), thus restoring both correct occlusion (bite) and physiological appearance. The case was all the more difficult as the "counter clock" was worked, the job being ready in just three weeks.


10 February 2015 • Metal-porcelain dental crowns • Dental prosthetic
The 81-year-old patient was presented with a functional and aesthetic problems in the lower jaw. After conducting canal treatments and teeth grinding, we opted for a fixed prosthesis (metal-ceramic work).


Fixed prosthesis with metal-ceramic work →
23 December 2014 • Metal-porcelain dental crowns • Dental prosthetic
The 37-year-old patient presented with a work done in Spain (upper skeletal prosthesis) and accused functional and aesthetic problems. Analyzing the case and taking into account the patient's desire to get rid of the mobile work, we have succeeded in a fixed metal-ceramic work, which gave the patient a better mastication, the desired appearance and, implicitly, a greater self-confidence.


Fixed metal-ceramic dental crown →
18 December 2014 • Pediatric Dentistry • Pediatric dentistry



11 Maiember 2014 • Chamfer polishing • Dental prosthetic
The patient presented for aesthetic reasons with problems in the upper frontal area. By mutual agreement, we have set up the upper frontal teeth with a ceramic work (D'sign). After ablation of old crowns, endodontic treatments, restoration of glass fiber pins, recording with the face arc (to the technician) and teeth grinding, we have achieved the desired result aesthetically and functionally.


Protecting frontal teeth with ceramic work →
17 September 2014 • Metal-porcelain dental crowns • Dental prosthetic
28-year old patient consultation for aesthetic reasons, complaining about bad smell and bleeding gums. I chose to remove the old work, redo the canal treatment and the prosthetic abutments. The gum suffered from chronic irritation, but owing to the correct adjustment of the new ceramic work, the gum regained its natural aspect. Since this is an important aesthetic area, I chose a metal-ceramic material (Ivoclar D'sign).


Restoring treatments and metal-porcelain crown →
17 September 2014 • Dental bridges • Dental prosthetic


17 September 2014 • Dental bridges • Dental prosthetic
Patient arrived at the practice for aesthetic reasons, complained about spontaneous bleeding of gums or bleeding when brushing. I removed the old dental piece, redid the treatments and the prosthetic abutments. The new prosthetic piece is made from Vita porcelain on metallic structure.



Vita porcelain dental bridge on metallic structure →
17 September 2014 • Dental bridges • Dental prosthetic


17 September 2014 • Professional whitening • Cosmetic dentistry



17 September 2014 • Skeletal prosthesis with special attachment systems • Dental prosthetic



Upper and lower skeletal prosthesis with telescopic systems →
17 September 2014 • Skeletal prosthesis with special attachment systems • Dental prosthetic



Upper skeletal prosthesis with telescopic systems and with 2 ACK →
27 August 2014 • Dental bridges • Dental prosthetic
Patient arrived at the office for aesthetic and functional reasons, complaints: gum bleeding and bad smell. I removed the old dental piece, redid the treatments de canal, the prosthetic abutments and performed polishing.



20 August 2014 • Dental implants • Implants
Patient suffering from full bi-maxillary edentulism. 8 implants were inserted at the maxillary and 8 implants at the under-jaw. After osseointegration, two all metal-ceramic bridges were executed (Ivoclar D'sign ceramic).



Full bi-maxillary edentulism →
18 August 2014 • Dental implants • Implants
The patient scheduled a consultation both for aesthetic reasons and (most of all) for functional ones. Since the patient rejected categorically the version of moving prosthesis, an option suggested by several physicians she had visited before, we opted for the insertion of 8 dental implants (Alpha-Bio). After the period of osseointegration we added a fixed metal-ceramic bridge (Ivoclar D'sign).


Implants and metal-ceramic fixed bridge →
14 Apry 2014 • Dental bridges • Dental prosthetic
Patient arrived at the office for functional and aesthetic reasons, with pain in several teeth. Fixed upper metal-ceramic piece inserted (Vita porcelain), and skeletal piece with special attachment systems inserted at the lower part.


Upper metal-ceramic bridge and lower skeletal one →
18 December 2013 • Pediatric Dentistry • Pediatric dentistry



8 October 2013 • Dental bridges • Dental prosthetic
35-year old patient suffering from severe aesthetic and functional problems. I had to devise a complex treatment plan, canal treatments, extractions, abutment restoration, polishing. I inserted a fixed metal-ceramic bridge (Ivoclar D'sign).


Metal-ceramic fixed bridge prosthesis →
6 September 2013 • Dental implants • Implants
Patient with total upper edentulism. We inserted 6 implants (Alpha Bio), then waited for 6 months for osseointgration and executed a fixed zirconia-non-ceramic insert.



Alpha Bio implants and zirconia-based bridge →
12 Apry 2013 • Professional whitening • Cosmetic dentistry
Young patient arrives for consultation for aesthetic reasons. After the lamp whitening treatment (using Opalescence Boost), the result obtained is spectacular.



12 Ianuary 2013 • Dental bridges • Dental prosthetic
Patient suffering from maxillary lateral tooth edentulism and multiple cavity damage at the frontal part. I performed canal treatments and inserted a zirconia fixed bridge for the entire upper frontal group.


Zirconia fixed dental bridge →
12 December 2012 • Metal-porcelain dental crowns • Dental prosthetic
Patient arrived at the dental office for aesthetic reasons. I chose to restore the 4 upper incisors with 4 metal-ceramic crowns (improved appearance), and the lateral part by 2 fixed metal-ceramic pieces. All the works were performed in Vita porcelain.


Metal-porcelain dental crowns →
12 December 2012 • Composite filling restorations • Odonto-therapy


Composite filling restorations →
12 December 2012 • Glass fiber crown-root restoration • Dental prosthetic



Extemporaneous restoration glass fiber pivot →
12 December 2012 • Glass fiber crown-root restoration • Dental prosthetic



Extemporaneous restoration glass fiber pivot →
12 December 2012 • Glass fiber crown-root restoration • Dental prosthetic



Extemporaneous restoration glass fiber pivot →
12 December 2012 • Dental bridges • Dental prosthetic
35-year old patient arrived at the dental office for aesthetic and functional reasons. I chose a total metal-ceramic Vita, price 450 RON / element) bridge.


12 December 2012 • Metal-porcelain dental crowns • Dental prosthetic



Metal-porcelain dental crowns Vita →
12 December 2012 • Metal-porcelain dental crowns • Dental prosthetic
Patient with badly adjusted dental piece and decayed teeth. I restored the endodontic treatment, as well as the prosthetic abutments (metal pivots). The new piece includes metal-ceramic crowns (Vita porcelain).



Individual metal-porcelain dental crowns →
11 August 2011 • Composite filling restorations • Odonto-therapy
Patient arrived at the office with multiple cavity damage in the frontal area. I removed the old fillings and the decayed tissue part and applied GC Genial composite fillings, which ensured perfect aesthetics.


Composite filling restorations →
3 August 2011 • Dental bridges • Dental prosthetic
Patient arrived at the dental office for functional and aesthetic reasons. Treatment chosen: two total bridges. At the upper part, I chose a Weisser total bridge (lower price 350 RON / element). At the lower part, I chose a total metal-ceramic bridge (Vita porcelain, price 450 RON / element). The pictures were taken 1 year after the provisory cementing of the pieces, when the patient came for the final cementing.


Along with my staff and a professional team of technicians every smile can be regained. And with it, your confidence.We're waiting for you to witness the entire team’s professionalism.
Want advice, information and details about our services ? Want an appointment?