14 March 2015 • Dental bridges • Dental prosthetic
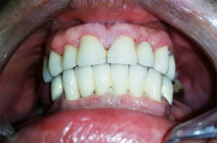
The 51-year-old patient showed up in the office for aesthetic and functional reasons, but mostly because of the unbearable teeth pain. After establishing the treatment plan, we decided to reconstitute with the patient with two metallic ceramic fixtures (D'sign), thus restoring both correct occlusion (bite) and physiological appearance. The case was all the more difficult as the "counter clock" was worked, the job being ready in just three weeks.




Dental bridges are fixed prosthetic devices or devices that cannot be removed and they are built in order to replace one or several missing teeth.
If you have any questions about our dental bridges please contact us for more detailed information.
See similar dental services in the Dental prosthetic category or the complete list of dentistry services. For costs and pricing of dental bridges, check our dental prosthetic prices list.
Along with my staff and a professional team of technicians every smile can be regained. And with it, your confidence.We're waiting for you to witness the entire team’s professionalism.
Want advice, information and details about our services ? Want an appointment?